Hoffnung für Diabetiker

Noch ist Diabetes unheilbar. Aber mit Hilfe von Data Science könnte sich dies bald ändern. An der MUDS erforscht Karin Hrovatin dafür die an der Insulinproduktion beteiligten Zellen. Das Ziel: Die Hormonproduktion künftig wieder anzuregen.
Schon als Kind in Slowenien zeichnete und rechnete Karin Hrovatin gern. Ihr Lieblings-Übungsheft in der Grundschule hieß „Mathe ist ein Spiel“; es enthielt Matheaufgaben, die zu lösen waren, indem man Bilder ausmalte – sie mochte es so gern, dass sie, sobald sie mit ihrem Heft fertig war, in dem ihrer Klassenkameradin wieder von vorn anfing.
Heute ist Hrovatin Doktorandin an der Munich School for Data Science (MUDS). Doch große Probleme löst sie nach wie vor mit Farben, Zeichnungen und Visualisierung. „Die meisten Menschen denken bei Data Science an Programmieren, Statistik und Mathematik“, meint Hrovatin. „Dabei ist das Visualisieren durch Zeichnungen oder graphische Darstellungen eigentlich einer ihrer wichtigsten Aspekte.“
Mittels Streudiagrammen, die aussehen wie regenbogenfarbene Wolken oder abstrakte Kunst, widmet sich Hrovatin einem Problem, das fast jeden zehnten Erwachsenen weltweit betrifft: Diabetes, eine chronische Erkrankung, deren Folgen bis hin zu Amputationen, Erblindung, Herzinfarkt und Schlaganfall reichen können. „Diabetes ist eine höchst problematische Krankheit“, sagt Hrovatin, „und sehr weit verbreitet, sodass die Suche nach einer Lösung ein wirklich wichtiges Forschungsthema ist.“
Die Insulinfabrik des Körpers besser verstehen
Hrovatin studierte zunächst Biotechnologie an der Universität von Ljubljana und anschließend Bioinformatik sowie Diabetologie an der Universität von Edinburgh. Dabei stellte sie fest, dass sie sich mehr für Zahlen als für praktische Laborarbeit interessiert. Dennoch wollte die slowenische Datenwissenschaftlerin weiterhin an Diabetes forschen, einem der aktuell drängendsten Probleme der öffentlichen Gesundheit.
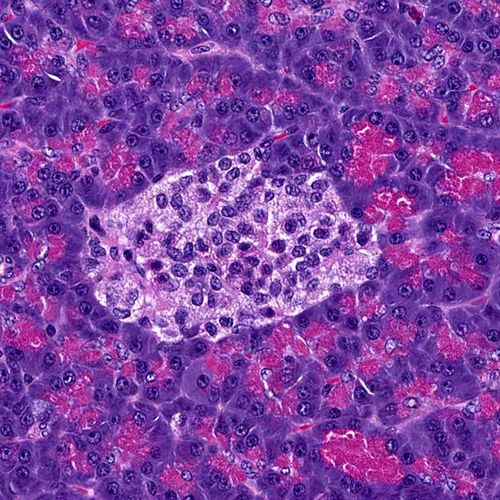
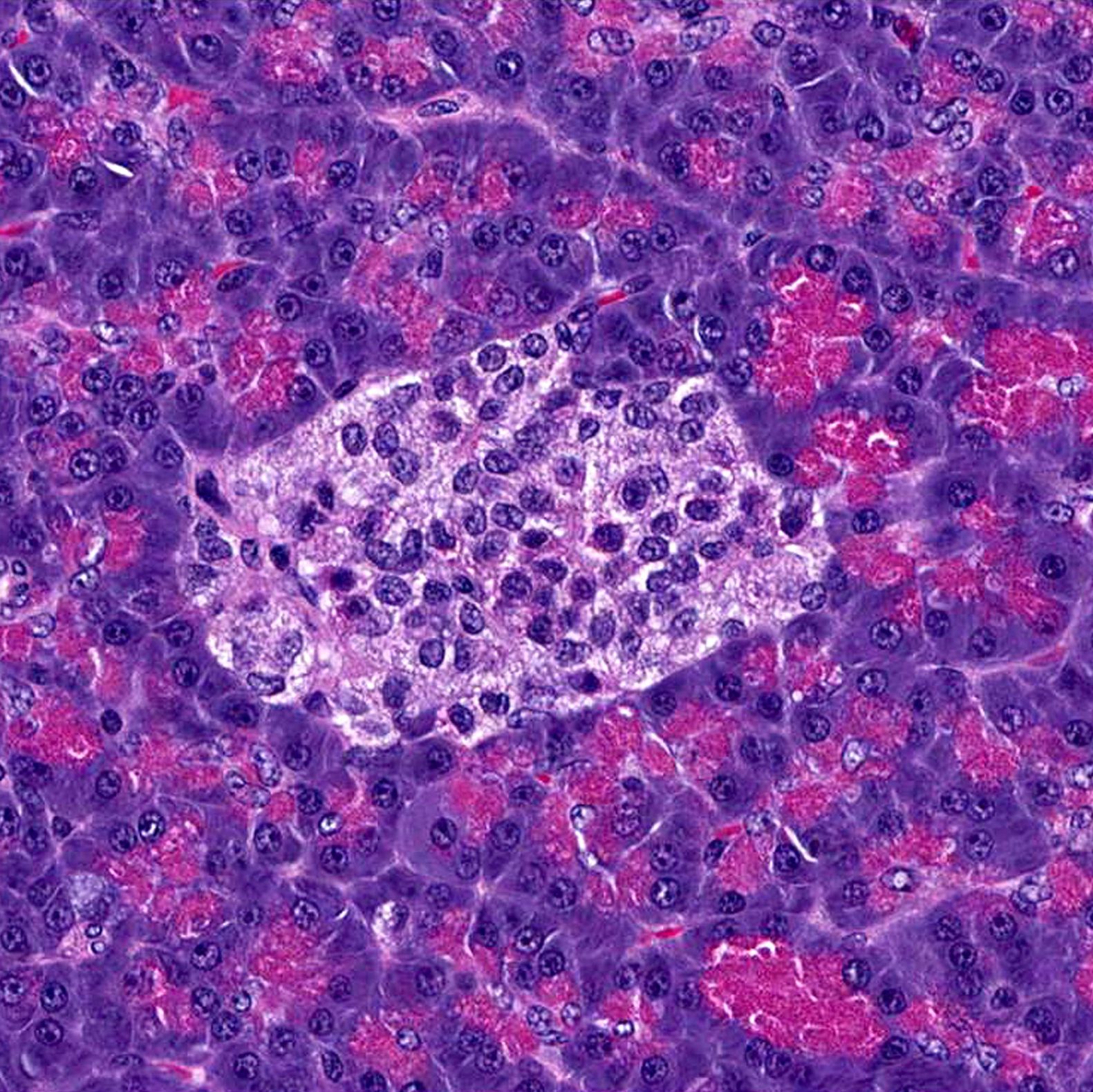
Dank eines einzigartigen interdisziplinären Data-Science-Programms der Helmholtz-Gemeinschaft kann sie beides verbinden und modernste Methoden der Data-Science nutzen, um den Verlauf von Diabetes auf Zellebene besser zu verstehen. Als Doktorandin an der Munich School for Data Science der Helmholtz Information and Data Science Academy arbeitet Hrovatin an einem besseren Verständnis der Betazellen, der Insulinfabriken des Körpers. Betazellen befinden sich in der Bauchspeicheldrüse und reagieren auf steigende Glukose-Werte im Blutkreislauf, den Blutzuckerspiegel, mit der Produktion des Hormons Insulin. Dieses wiederum signalisiert den Muskelzellen, Blutzucker aufzunehmen und für die spätere Nutzung zu speichern.
Wenn die Betazellen jedoch defekt sind, produzieren sie nicht mehr genug Insulin – und der Körper nimmt keinen Blutzucker mehr auf. Dadurch entsteht Typ-2-Diabetes, eine der häufigsten und sich am schnellsten ausbreitenden nicht übertragbaren Krankheiten in der heutigen Welt.
Warum hören Betazellen auf zu funktionieren?
Um Diabetes eines Tages heilen zu können, versuchen Forscherinnen und Forscher besser zu verstehen, warum die Betazellen aufhören zu funktionieren. Bisher wurde angenommen, dass sie bei einer zu zuckerhaltigen Ernährung zu hart arbeiten müssen und irgendwann einfach erschöpft sind.
Mittlerweile weiß man aber, dass nicht alle Betazellen gleich sind. Sie unterscheiden sich von Person zu Person und sogar zwischen benachbarten Zellen. Zu verstehen, wie die Betazellen ticken – und eben bisweilen aufhören zu ticken –, steht im Mittelpunkt von Hrovatins Arbeit.
Während die Wissenschaft früher davon ausging, dass ausgediente Betazellen nicht mehr zu reparieren sind, zeigen neue Entdeckungen, dass sich manche von ihnen durchaus wiederbeleben lassen. Allerdings ist noch nicht klar, welche auf eine Behandlung ansprechen. „Betazellen verändern sich während des Alterungsprozesses oder durch Stress. Wir suchen nach Unterschieden zwischen gesunden und kranken Betazellen, um herauszufinden, wie wir sie regenerieren oder erneut zum Arbeiten bringen können“, erklärt Hrovatin. „Wenn es möglich wäre, die Betazellen in ihren gesunden Zustand zurückzuversetzen, könnte dadurch ihre Funktion in der Bauchspeicheldrüse wiederhergestellt werden.“
Ein "Atlas" der insulinproduzierenden Betazellen
Das Labor des Instituts für Computational Biology des Helmholtz-Zentrums München, an dem sie arbeitet, befasst sich hauptsächlich mit Einzelzell-Sequenzierung, einer Technik der Datenanalyse, mit der Biologen Zelleigenschaften bei Mäusen mit Diabetes direkt untersuchen können. Trotz des riesigen Potenzials findet die Forschung auf mikroskopischer Ebene statt: Hrovatins Kollegen entnehmen den Nagern Zellen der Bauchspeicheldrüse und isolieren aus dem Organgewebe einzelne Zellen, deren Eigenschaften und Reaktion auf Behandlungen und Stress sie dann untersuchen.
Die Betazellen werden in einem winzigen Röhrchen aufgereiht, einzeln in Öltröpfchen eingeschlossen und jeweils mit einer eindeutigen Kennung markiert. Ein Datensatz kann auf nur 10.000 Zellen basieren, eine Menge, die mit bloßem Auge kaum zu sehen ist.
Hrovatins Ziel besteht letztlich darin, Daten von vielen verschiedenen Zelltypen und Experimenten miteinander zu verbinden und so eine Art „Atlas“ der Betazellen zu erstellen, um zu verstehen, welche Zellen gemeinsame Eigenschaften haben und worin sich ihre Stoffwechselfunktion unterscheidet. Auf dieser Grundlage können Wissenschaftlerinnen und Wissenschaftler in der Zukunft vielleicht bessere, individuellere Behandlungen für Typ-2-Diabetes entwickeln. Das Helmholtz Diabetes Center ist in diesem Forschungsbereich führend. „Es liegen bereits eine Menge Daten vor, weshalb Diabetes gut für die Datenanalyse geeignet ist“, erläutert Hrovatin.
Mit maschinellem Lernen und Data Science will Hrovatin analysieren, welche Zelleigenschaften verschiedene Krankheitstypen und Behandlungsformen gemeinsam haben – und so eine Art Atlas der Zellsubtypen erstellen. „Ich könnte diese Informationen nutzen, um vorherzusagen, wie Zellen in einem lebenden Organismus wahrscheinlich auf eine Behandlung reagieren werden“, sagt sie, „ausgehend davon, wie sie in der Zellkultur reagieren.“ Das, so hofft die Wissenschaftlerin, wird ein wichtiger erster Schritt hin zur Entwicklung von Therapien für Diabetespatientinnen und -patienten sein.
Datensätze vergleichbar machen
Bevor sie aussagekräftige Vergleiche von Zelltypen und -funktionen anstellen kann, muss sie jedoch sicherstellen, dass die Datensätze sich überhaupt entsprechen. In einer idealen Welt würden alle Forschenden ihren Experimenten die gleichen Methoden zugrunde legen, so dass man die Ergebnisse leicht vergleichen und sehen könnte, wie Zellen auf verschiedene Arten von Stress und Behandlungen reagieren.
Wir leben aber nicht in einer idealen Welt. Als Hrovatin im Sommer in München ankam, wurde ihr das Ausmaß des Problems bewusst: „Es gibt verschiedene Mausmodelle, verschiedene Krankheitstypen, verschiedene Laborprotokolle“, erläutert sie. „Es gibt jede Menge Unterschiede, und das ist eine große Herausforderung.“
Deshalb widmete sie die ersten vier Monate ihrer Doktorarbeit der Frage, wie sich Datensätze so in Übereinstimmung bringen lassen, dass Zellen auf sinnvolle Weise verglichen werden können. „Es ist wichtig, die Datensätze zusammenzuführen, aber zunächst muss man sicherstellen, dass man tatsächlich biologische Effekte analysiert und nicht technische“, sagt Hrovatin. „Ich hoffe, dass ich die Ergebnisse in Kooperation mit Biologen überprüfen kann.“ Bislang konnte sie bereits auf die Expertise von Diabetologen und Bioinformatikern am Helmholtz-Zentrum München zurückgreifen.
Interdisziplinäre Anregungen durch die MUDS
Die Alpenkulisse von München erinnert die slowenische Wissenschaftlerin an ihre Heimatstadt Ljubljana, die Hauptstadt Sloweniens. Es macht ihr Spaß, die Stadt mit dem Fahrrad zu erkunden – und zu ihrem Labor zu fahren, trotz der ungewöhnlichen Bedingungen und der nur eingeschränkt möglichen Kontakte während der Corona-Pandemie. An der MUDS besteht unterdessen ein wachsendes Netzwerk von Doktorandinnen und Doktoranden mit ähnlichen Forschungsinteressen.
Als Teil der Helmholtz Information and Data Science Academy ist die MUDS ein Bindeglied zwischen dem Helmholtz-Zentrum München, dem Max-Planck-Institut für Plasmaphysik und dem Deutschen Zentrum für Luft- und Raumfahrt. Unter Hrovatins Kolleginnen und Kollegen sind Experten aus den Bereichen Robotik, Plasmaphysik und Biomedizin – ihnen allen gemeinsam ist der Fokus auf neue Anwendungsmöglichkeiten für Data Science. Solange die Doktorandinnen und Doktoranden sich nicht persönlich treffen können, kommen sie regelmäßig online in Seminaren zusammen. „Es ist großartig“, findet Hrovatin, „ich kann von Leuten aus anderen Bereichen lernen und bekomme Ideen, die ich auch in der Biologie anwenden kann.“
Hrovatin findet immer noch Zeit für die Leidenschaft ihrer Kindheit, das Zeichnen. In ihrer Freizeit entwirft sie zum Beispiel fantasievolle Mode und Haute Couture. Aber ihre Energie fließt heute in eine andere Form von Kunst: bunte Visualisierungen von Datenpunkten und Zelltypen, mit denen sie hofft, eines Tages Diabetespatienten heilen zu können.
Autor: Andrew Curry



